〒780-8052 高知県高知市鴨部1丁目10-33
土佐電鉄「蛍橋駅」より徒歩10分

電話での問合せ・無料相談予約

0120-425-804
診療時間
8:30~12:00/13:30~17:00
電話受付時間
8:30~12:00/13:30~16:45
休診日
木曜・日曜・祝日

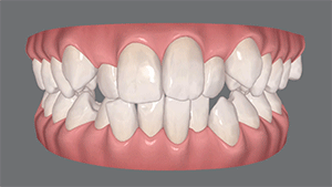
開咬とは?

オープンバイトとも呼ばれる開咬(かいこう)は、奥歯で噛んだときに上下の前歯閉じず隙間空いてしまう症状です。

開咬の弊害

開咬の方は、生活の中でさまざまな問題がおきています。
 

麺類やサンドイッチを
前歯で噛み切れない

パスタを食べるとき、前歯で噛み切れないから、前歯で押しつぶすように無理やり切る。サンドイッチをかじればハムだけがベロッと飛び出して、慌てて手で隠す

これは、上下の前歯が噛み合わない開咬の方に非常に多いお悩み。

友人とのランチやデートで、「変な食べ方をしていないか」と気になって、手で口を隠しながら食べる方も少なくありません。

メニュー選びも制限され、好きなものを自由に食べられないストレスが、静かに積み重なっていきます。

口が閉じない、ポカンとして見える

気づくと口が開いている。意識して閉じようとしても、前歯が噛み合わないから自然に閉じられない。鏡を見ると、ポカンと口を開けた自分がいる…。

無理に閉じようとすると、口元がモコッと盛り上がって不自然になる。「間抜けに見えていないか」「だらしなく見えていないか」と気になって、写真に写るのが嫌になる。

口元のせいで自分に自信が持てない。開咬の方が抱える見た目の悩みです。

息が漏れて、滑舌が悪くなる

「さしすせそ」「たちつてと」を言おうとすると、前歯の隙間から息が漏れて、うまく発音できない。舌先が上の前歯や歯ぐきにきちんと触れないから、言葉がはっきり出ません。

電話で何度も聞き返される、会議で発言しても伝わりにくい。自分では普通に話しているつもりなのに、相手に「え?」と聞き返される瞬間が、地味にストレスになります。

開咬による滑舌の悪さは、コミュニケーションそのものに影響する悩みです。

この状況を放置すると…

「歯の寿命」を縮めます

開咬の人は、前歯が使えない分、奥歯だけで噛み続けることになります。本来なら前歯と分散するはずの力が、奥歯に集中し続けるのです。

その結果、奥歯の表面が削れ、欠けやすくなり、寿命が短くなります。

噛み合わせもずれていき、顎の関節にも不自然な負担がかかり続けて、顎関節症のリスクも高まります。

開咬は見た目だけの問題ではありません。放置すれば、お口全体崩壊につながる症状なのです。

開咬を治すと
こんな未来が訪れます

ラーメンもパスタも、前歯サクッと噛み切れる。サンドイッチをかじって、ハムがベロッと飛び出すこともない。手で口を隠さなくても、当たり前のように、きれいに食べられる

「さしすせそ」「たちつてと」が、息漏れせずはっきり発音できる。電話でも会議でも、聞き返されない。

口を自然に閉じられるから、鏡を見ても、写真に写っても、口元にコンプレックスを感じない。

友人とのランチも、デートの食事も、メニューを気にせず心から楽しめる。

開咬の矯正治療がもたらすのは、きれいな歯並びだけでない、この「当たり前の生活」です。

では、こうした悩みがなぜ起こり、
どんな治療が失敗しやすいのか見てみましょう

開咬の原因と失敗例
(1) 前歯沈み込んでいる

前歯が骨の中に沈み込んで開咬

爪を噛む癖のある人、子供の頃に指しゃぶりの癖があった人は、前歯が顎の骨の中に沈み込んでしまい、上下の隙間が空いてしまうことあります。

この場合、骨の中に沈み込んだ前歯を引っ張り出す(「挺出」(ていしゅつ)と言います)矯正治療が求められるのですが、実はこれがとても難しい治療法。

歯科医院によっては対応できないので、注意が必要です。

前歯が引っ張り出されず
開咬が治らない

まず、インビザライン以外のマウスピース矯正の多くは、この「前歯を引っ張り出す」挺出が行えません。

特に、前歯に限定した部分矯正がメインの「格安マウスピース矯正」で治療すると、開咬がほとんど治らなかった、ということになりがちです。

歯ぐきがむき出しの
ガミースマイルになってしまう

また本当は奥歯が高いことが開咬の原因なのに、経験不足の歯科医が診断を間違えて、奥歯ではなく前歯の挺出を必要以上に行ってしまうこともあります。

上の前歯を引っ張り出しすぎると、歯ぐきも一緒に伸びてしまい、ひどい場合は笑った時に歯ぐきが過剰に見える「ガミースマイル」になってしまうこともあるのです。

歯ぐきのラインが
不揃いになる

複数の前歯を引っ張り出す場合、経験不足の歯科医ではコントロールがうまくいかず、引っ張り出された前歯の高さが異なってしまうことがあります。

この状態では、たしかに上下の隙間は埋まるかもしれませんが、歯ぐきのライン(ガムライン)がガタガタになり、非常に不自然な見た目になってしまいます。

出っ歯口ゴボ
なってしまう

また挺出による矯正治療に際しては、単に「引っ張り出す」だけでなく、歯の傾きトルク)を精密にコントロールする必要があります。

経験不足の歯科医の場合、挺出させた歯が前方に傾斜してしまい、開咬は治ったけれど出っ歯口ゴボになってしまった、という結果を招くことがあります。

前歯を引っ張り出して
開咬を治療します

上記のような失敗を起こさないために当院では、前歯を挺出できるマウスピース矯正「インビザライン」をおすすめしています。

前歯に限定した部分矯正がメインの「格安マウスピース矯正」では、前歯を引っ張り出せないため、前歯の長さが原因の開咬は矯正はできません。

その点当院のインビザラインなら、上下の前歯を引っ張り出す(挺出)ことで、開咬の矯正が可能なのです。

経験20年、実績2,300症例
開咬の治療もお任せください

当院で開咬の矯正治療を担当するのは、院長である私です。

私が手がけた矯正治療の実績は累計で2,300症例にのぼり、20年に渡る矯正経験の中で、マウスピース矯正とワイヤー矯正の両方を手がけてきました。

また、2022〜2025年の4年連続で、インビザライン社から上位ランクの「プラチナプロバイダー」、2025年・2026年の2年連続で「ダイヤモンドプロバイダー」に認定されております。

おかげさまで、開咬の患者さまが多数来院されるようになり、経験を豊富に積むことができました。

開咬の治療にも自信を持って取り組み、成功症例を積み重ねておりますので、安心してお任せいただければと思います。

 
  • 私の開咬は、どう変わるの?
  • 私の開咬は、どうやって治すの?
  • 治療費や治療期間は?

相談会ではシミュレーション画像で
未来の歯並びを確認できます

無料の矯正相談を実施中。矯正経験20年・累計2,300症例の実績を持つ、上位ランク「ダイヤモンド」認定の院長に、ぜひお気軽にご相談ください。

開咬の原因と失敗例
(2) 前歯が外側に傾いている

前歯が外側に傾いて開咬に 

前歯を舌で押し出す癖がある人や、子供の頃に指しゃぶりの癖があった人は、前歯が外側に斜めに傾いてしまうことがあります。

その結果、上下の間に隙間が空いてしまい、開咬となるのです。

しかも前歯が外側に傾くと、それに伴い奥歯の位置もずれてしまって、噛み合わせがおかしくなってしまいます。

そのため前歯が傾いた開咬の治療に際しては、前歯をまっすぐに整えるのと同時に、奥歯噛み合わせを整える必要があるのです。

前歯だけ治療して
噛み合わせは悪いまま

先ほどもお話ししたように、開咬の患者さまの多くは奥歯噛み合わせが悪くなっています。

そのため前歯の傾きを矯正して上下の隙間をなくすだけではなく、奥歯の噛み合わせ矯正もセットで行わないと、患者さまのお口は健康な状態に戻りません。

ところが前歯しか動かせない格安矯正では、奥歯の噛み合わせの矯正は行えません。

その結果、前歯の隙間は埋まったものの、相変わらず噛み合わせが悪いままで、日常生活に支障を来すという状況が続いてしまうのです。

噛み合わせがさらに悪くなって
顎関節症

ところでこの噛み合わせですが、開咬は他の症状に比べて奥歯の状態が悪くなりがちで、噛み合わせ治療の難易度がぐっと高くなります。

そのため経験が浅い歯科医師が開咬の噛み合わせ治療を行うと、あごに不要な力をかけすぎてしまい、顎関節症を引き起こしてしまうことがあります。

開咬の治療は、噛み合わせ治療を得意とする歯科医師に相談することを強くお勧めします。

インビザライン
噛み合わせも矯正します

当院では、前歯の傾きを整えて開咬を矯正するだけでなく、奥歯噛み合わせの矯正も行えるマウスピース矯正「インビザライン」をおすすめしています。

前歯しか動かせない格安矯正では、奥歯の噛み合わせの矯正は行えませんが、インビザラインなら、奥歯を動かして噛み合わせを整える事も可能なのです。

経験20年、実績2,300症例
お気軽にご相談ください

当院で開咬の矯正治療を担当するのは、院長である私です。

先ほどもお話ししたように、矯正経験20年・累計2,300件の成功症例を積み重ね、上位ランク「ダイヤモンド」認定医として、患者さまに輝く笑顔をお届けしてきました。

もし開咬でお悩みなら、どうぞお気軽にご相談ください。

 
  • 私の開咬は、どう変わるの?
  • 私の開咬は、どうやって治すの?
  • 治療費や治療期間は?

相談会ではシミュレーション画像で
未来の歯並びを確認できます

無料の矯正相談を実施中。矯正経験20年・累計2,300症例の実績を持つ、上位ランク「ダイヤモンド」認定の院長に、ぜひお気軽にご相談ください。

開咬の原因と失敗例
(3) 奥歯が高くて引っかかる

奥歯が引っかかって開咬

何らかの原因で奥歯が高く伸びすぎてしまうと、噛んだときに奥歯がつっかえて、前歯が閉じなくなります。

これが原因の開咬の場合、ものを噛んだ際の力が集中するため奥歯の負担が大きく、噛み合わせがおかしくなっていることが少なくありません。

奥歯の引っかかりが開咬の原因の場合は、伸びて引っかかっている奥歯削る(咬合削合)か、顎の骨に奥歯押し込める圧下)する必要があります。

奥歯を削れる量には限界があるので、多くの場合で圧下による治療が行われます。

前歯だけ治療して、開咬が治らない

ところが多くの格安矯正は前歯しか動かせないため、奥歯の圧下は行えません。

そのため前歯をいくら矯正しても、奥歯の引っかかりが解消できず、格安矯正では開咬がほとんど改善しない、という結果になってしまうのです。

奥歯を動かして
噛み合わせがおかしくなる

そもそもこの顎の骨に奥歯を押し込める「圧下」は、矯正の中でも難易度の高い治療の一つ。

そのため経験不足の歯科医の場合、歯がまっすぐに押し込められず傾いてしまい、噛み合わせがおかしくなることがあります。

たとえ歯がまっすぐに押し込められたとしても、特定の歯が沈むことで、今まで浮いていた別の奥歯が強く当たったり(早期接触)、 隠れていた噛み合わせの問題が露見したりする恐れがあります。

その結果、開咬は解消したものの、奥歯の噛み合わせがおかしくなってしまった、という失敗に陥ることが少なくないのです。

歯根
ダメージを与えてしまう

また「圧下」は、奥歯の歯根)をに押し込む高難度の治療ですが、押し込む際の力の制御に高いスキルが求められます。

そのため経験不足の歯科医の場合、力の制御が不適切で、強すぎる力をかけてしまうことがあります。

もし強すぎる力をかけ続けると、場合によっては歯の根が溶けて短くなる「歯根吸収」や、歯を支える骨自体が溶ける「歯槽骨吸収」を引き起こす危険性があり、歯の寿命を著しく縮めてしまいます。

インビザライン
奥歯を圧下します

上記のような失敗を起こさないために当院では、奥歯を圧下できるマウスピース矯正「インビザライン」をおすすめしています。

前歯だけしか動かせない格安矯正では、奥歯を押し込む(圧下)治療は行えません。できるのは奥歯を削っての矯正治療となります。

またワイヤー矯正も圧下が苦手。できないわけではないのですが、とても時間がかかってしまいます。

その点インビザラインなら、奥歯を削ることなく、奥歯を押し込んで(圧下)、開咬を治療することができるのです。

経験20年、実績2,300症例
お気軽にご相談ください

また繰り返しお話ししているように、当院で開咬の矯正治療を担当するのは、院長である私です。

20年の矯正経験の中で数多くの噛み合わせ治療を手がけて参りました。

もし開咬の隙間の矯正だけでなく、奥歯の噛み合わせも矯正したいとお考えでしたら、どうぞお気軽にご相談ください。

  • 私の開咬は、どう変わるの?
  • 私の開咬は、どうやって治すの?
  • 治療費や治療期間は?

相談会ではシミュレーション画像で
未来の歯並びを確認できます

無料の矯正相談を実施中。矯正経験20年・累計2,300症例の実績を持つ、上位ランク「ダイヤモンド」認定の院長に、ぜひお気軽にご相談ください。

その他の
失敗例

矯正治療中に
虫歯になってしまう

マウスピース矯正の治療中は、虫歯になりやすいことをご存知でしょうか?

普段私たちの口の中は、唾液によって常に洗浄されています。ところがマウスピースを装着すると、唾液が歯の表面に行き届かない状態に。

歯に付着した汚れが洗い流されず、知らないうちに虫歯になっていた、ということも少なくありません。

このような失敗談は、矯正専門医院で治療を受けた方からよく聞きます。矯正だけに注力して、虫歯予防にまで配慮していないことがあるからです。

予防歯科にも力を入れる
「総合歯科医院」

一方、当院のような矯正だけでなく一般歯科治療も提供する「総合歯科医院」であれば、虫歯や歯周病の予防にも力を入れています。

矯正中に歯のクリーニングをご提供するなど、患者さまの大切な歯を虫歯や歯周病からお守りします。

 
このような失敗治療にならないよう
当院では「インビザライン」による治療に
力を入れています

開咬におすすめの
矯正治療

開咬の治療として当院が最適だと考えているのが、マウスピース矯正「インビザライン」。

透明で目立たない、痛みが少ない、いつでも装置を外せる、お食事や歯磨きをいつも通りに行えるなど、他の治療法にはない多くメリットがあります。

当院のインビザライン治療については以下のページで詳しくご紹介しております。ぜひご覧ください。

インビザラインなら
開咬を矯正できる

適応範囲が限られる格安矯正と異なり、インビザラインは開咬の治療に有効な以下の機能を備えています。

前歯を引っ張り出せる

前歯に限定した部分矯正がメインの格安矯正では、前歯を引っ張り出せないため、前歯の長さが原因の開咬は矯正はできません。

その点当院のインビザラインなら、上下の前歯引っ張り出す(挺出)ことで、開咬の矯正が可能です。

奥歯を動かせる

前歯しか動かせない格安矯正では、奥歯の噛み合わせ矯正はできません。

一方、インビザラインなら前歯の傾きを整えて開咬を矯正するだけでなく、奥歯動かして噛み合わせを整える事も可能です。

奥歯を圧下できる

前歯しか動かせない格安矯正では、奥歯を押し込む(圧下)治療は行えません。できるのは奥歯を削っての矯正治療。

またワイヤー矯正も圧下が苦手。できないわけではないのですが、とても時間がかかってしまいます。

その点インビザラインなら、奥歯を削ることなく、奥歯を押し込んで(圧下)、開咬を治療することができるのです。

  • 一部の費用しか記載されていないため、総額いくらか分からない
  • 軽度の費用しか記載されておらず、重度の費用が分からない

こうした疑問をお持ちの方も多いのではないでしょうか。

そこで当院では、矯正治療にかかるすべての費用を、軽度重度別に分かりやすく記載しております。

当院では、月々わずか支払いだけですむ、デンタルローンによる分割払いをご用意しました。

分割払いなら多額費用を最初に用意することなく、すぐに治療を開始することが可能です。

開咬を治療できない「前歯のみ」を動かす格安矯正を当院では取り扱っておりません。

格安矯正 ごく
軽度
前歯
のみ
当院での
取り扱いなし

 

当院では患者樣の症状に合わせて「前歯と奥歯の両方」を動かせるマウスピース矯正「インビザライン」で治療を行っています。

インビザライン
ライト
軽度 前歯と
奥歯 
66万円
(上下)
月々
7,600円
インビザライン
モデレート
中度 前歯と
奥歯 
88万円
(上下)
月々
10,100円
インビザライン
フル
コンプリヘンシブ
重度 前歯と
奥歯 
121万円
(上下)
月々
13,900円

(税込)

なお開咬の患者さまの場合、モデレートまたはフル(コンプリヘンシブ)での治療になるケースが大半です。

 

当院はトータルフィー(総額表示)制度を採用しているため、他院では別料金となることが多い様々な費用が無料です。

医療費控除が使えます

マウスピース矯正は医療費控除を利用できます。

年収360万円の方が66万円の治療を受けた場合、17万円が還付されることになります。つまり、実質の治療費は49万円です(概算)。

  • 私の開咬は、どう変わるの?
  • 私の開咬は、どうやって治すの?
  • 治療費や治療期間は?

相談会ではシミュレーション画像で
未来の歯並びを確認できます

無料の矯正相談を実施中。矯正経験20年・累計2,300症例の実績を持つ、上位ランク「ダイヤモンド」認定の院長に、ぜひお気軽にご相談ください。

続いて当院の特徴についてご紹介いたします

当院の矯正治療の
特徴

2年の治療期間を
1年短縮

当院では、光加速装置(矯正加速装置)を導入し、歯の移動速度を向上させています。

歯の動くスピードがグッと速くなるため、通常2年かかる治療期間を1年程度に短縮可能です。

20年以上にわたって矯正治療に携わってきた院長は、のべ2,300以上の症例を手がけ、インビザライン治療の実績で高知No1となりました。

さらに高知でただ一人のインビザライン社の「公認講師」として、後進の育成にあたっています。

2022~2025年に4年連続インビザラインプラチナプロバイダー、2025年・2026年に2年連続インビザラインダイヤモンドプロバイダーにも認定されている院長が、豊富な経験・実績を活かして初診から最後のフォローアップまで全工程を担当。あなたの願う理想の口元を、きっと叶えて差し上げられることと思います。

「もう年齢的に遅いのでは」「ブリッジインプラントがあるから無理かも」──40代・50代の方からよくいただく不安です。

実際、この年代の矯正治療は難度が上がるため、他院で断られるケースも少なくありません。

その点当院では、高知でただ一人のインビザライン社の「公認講師」で、2,300症例以上の治療実績を持つ院長が、数多くの40代・50代の矯正治療を成功に導いてきました。

矯正治療に「遅い」はありません。まずは、無料相談にお越しいただければと思います。

矯正後の歯並びはどうなるんだろう…。本当に理想の口元が手に入るの?そんな不安を抱える方もいらっしゃるかと思います。

当院では、最新の口腔内スキャナーを使用した歯並びのシミュレーション無料でご提供しています。

これにより治療中の歯の動きや、矯正後の歯並びをイメージすることが可能です。

※簡易シミュレーションでは画像、詳細シミュレーションでは動画でご確認いただきます。

他院で断られた方も
どうぞお任せください

格安アライナーをはじめとした格安矯正は、軽度の症状にしか対応できません。

一方、当院が採用しているマウスピース矯正インビザラインなら、中度重度の患者さまにも対応可能。

他院で「治療できない」と断られた患者さまもお気軽にご相談ください。

院長もスタッフも
矯正治療の経験者

院長をはじめ多くのスタッフが、矯正治療を受けています。

元患者として苦労したからこそ、患者さまの不安や悩みに寄り添えます。

また自分自身がきれいな歯並びを手に入れたからこそ、マウスピース矯正を自信持ってお勧めすることができるのです。

プライバシーが守られた
半個室の診療台

当院ではプライバシーに配慮した半個室の診療台をご用意。

隣の患者さまを気にすることなく、治療を受けていただけます。

私たちの役割は、患者さまの歯並びを整え、患者さまに笑顔を取り戻していただくこと。

そのために最も大切なのが、患者さまのお話をしっかりと伺うことなのです。

無料の矯正相談や治療時に、どんな些細な事でも構いません。お悩みやご希望、ご質問、等、色々とお話しください。

お話しを伺うことを楽しみにしております。

マウスピース矯正治療の
流れ

最後に、マウスピース矯正治療がどのような流れで進むのかをご紹介いたします。具体的なイメージをつかむことで、矯正治療をより身近に感じていただけたらと思います。

無料相談
(カウンセリング)

精密検査

治療計画
(クリンチェック)

ご契約

治療開始

治療の経過観察

治療終了

保定期間に移行

  • 私の開咬は、どう変わるの?
  • 私の開咬は、どうやって治すの?
  • 治療費や治療期間は?

相談会ではシミュレーション画像で
未来の歯並びを確認できます

無料の矯正相談を実施中。矯正経験20年・累計2,300症例の実績を持つ、上位ランク「ダイヤモンド」認定の院長に、ぜひお気軽にご相談ください。

当院の矯正治療

  • 私の歯並びはキレイになるの? 
  • 治療費や治療期間は?
  • 本当にお顔も美しくなるの?

歯並びの無料相談を実施中。治療後の歯並びをイメージできるシミュレーションも可能です。

診療時間
8:30~12:00
13:30~17:00

休診日:木曜・日曜・祝日

JR土讃線「旭駅」より徒歩15分 ▶アクセスマップへ