〒780-8052 高知県高知市鴨部1丁目10-33
土佐電鉄「蛍橋駅」より徒歩10分

電話での問合せ・無料相談予約

0120-425-804
診療時間
8:30~12:00/13:30~17:00
電話受付時間
8:30~12:00/13:30~16:45
休診日
木曜・日曜・祝日

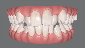
受け口とは?

反対咬合下顎前突(かがくぜんとつ)とも呼ばれる受け口は、下の前歯が上の前歯より前方に飛び出している症状。

横から見ると下顎が突き出して見えることから、「しゃくれ」、あるいは「三日月顔」と形容されることもあります。

受け口の弊害

受け口を治療せずに放置していると、以下のようにさまざまな問題がおきてしまいます。
 

容姿へのコンプレックス

受け口は見た目が良くないということで、気にされる方がとても多い症状。

特に女性の患者さまの場合、ご自身のお顔にコンプレックスを感じる方が少なくありません。

滑舌発音が悪くなる

受け口は上下の前歯が噛み合わないため、空気が漏れたり、舌の動きに制約がでます。

そのため「サ行」や「タ行」の発音が難しく、声がこもり滑舌が悪くなって、会話支障をきたすことが少なくありません。

虫歯歯周病にかかりやすい

また受け口の患者さんは口を閉じにくいため、口内が渇きやすくなります。

そのため唾液量が減って虫歯歯周病にかかりやすい傾向があります。

肩こり腰痛が起きやすい

さらに受け口は、上下の歯の位置が通常とずれているため、多くの方が奥歯の噛み合わせもおかしくなっています。

そのため食べ物をうまく噛めない上に、肩こり腰痛を引き起こしているケースも少なくありません。

ほうれい線が目立つ

また受け口だとしっかり噛めないため、口周りの筋肉が衰えやすく、口元がたるみがち。

その結果、ほうれい線が目立ってしまい、何となく老けた印象を与えてしまうのです。

受け口の原因と失敗例
(1) 前歯斜めになってしまった

下の前歯が斜めに傾き
外側に押し出されて受け口

前歯を舌で押す癖がある人や、子供の頃に指しゃぶりの癖があった人は、下の前歯が徐々に外側に傾いて受け口になってしまいがち。

また奥歯が斜めに生えている場合、その奥歯の傾きが徐々にひどくなって前歯を外側に押し出してしまい、さらにひどい受け口になることも少なくありません。

しかも下の前歯が外側に押し出されると、それに伴って奥歯移動してしまうため、多くの場合、奥歯の噛み合わせもおかしくなっています。

そしてこの受け口を矯正するためには、相応の高いスキルが必要。

経験不足の歯科医が受け口を治療すると、以下のような失敗に終わることも多いのでご注意ください。

スペース不足で
受け口が治らない

下の歯が外側広がった受け口を治療するためには、広がった前歯を後方に並べるためのスペースが必要です。

本来は親知らずを抜いたスペースに奥歯動かすことで、前歯を引っ込めるスペースを確保するのがおすすめの治療法。

ところが前歯しか動かせない格安矯正や、経験不足の歯科医の場合、このスペースの確保が不充分なことがあるのです。

スペースが足りないと下の前歯を内側に動かせませんから、いつまで経っても受け口が治りません

結果的に治療期限が終了しても受け口があまり改善せず、自分の理想の歯並びとはほど遠い、という失敗治療に終わってしまうのです。

抜歯したけど
奥歯を動かせずすきっ歯

スペースを確保するために、抜歯が必要になることがあります。具体的には前から4番目の歯を抜いて、前歯を奥側へ引っ込めるスペースを生み出します。

広いスペースを確保できるため、前歯を大きく引っ込めることができ、より美しい口元をご希望の方には抜歯矯正がおすすめです。

ただし、抜歯後のすき間を埋めるために、前歯だけでなく、奥歯も動かさなければいけません。

そしてこの奥歯を動かすのが一苦労。極めて高いスキルと経験が求められます。

そのため歯科医師の経験が浅いと奥歯をうまく動かせずに、歯と歯のあいだが空いたすきっ歯になることもありますので、注意が必要です。

下の前歯を引っ込めすぎて
老け顔

一方すきっ歯にならないように、抜歯後に前歯を口の奥の方へ動かしすぎると、頬がこけたり、口周りにシワができたりします。

そのため受け口の治療が終わった後に、なんだか老けたような疲れたようなお顔になってしまうことも・・・。

そうならないためには、前歯だけでなく奥歯も少し前に動かして、スペースを埋めることが必要。

前歯をどこまで引っ込めるか、奥歯をどこまで手前に動かすのか、極めて高いスキルと経験が求められるのです。

残念ながら歯科医師の経験が浅いとこうした判断を誤ってしまい、受け口を矯正したら老け顔になった、という失敗治療になってしまうのです。

治療後に
また受け口戻ってしまう

受け口の原因が奥歯にある場合、前歯だけの治療だと、根本的な原因が取り除けません。

たとえ一時的に受け口が治ったとしても、奥歯をそのまま放置していると、またすぐに前歯が押し出されて、結局は受け口の状態に戻ってしまうのです。

格安矯正等、前歯しか矯正しない治療方法の場合、治療後しばらくするとまた受け口に戻ってしまう可能性がありますので、事前に歯科医に確認することをおすすめします。

奥歯の矯正が不充分で
噛み合わせがおかしい

受け口では、前歯がずれているだけでなく奥歯もずれているため、噛み合わせがおかしくなっている患者さまが少なくありません。

経験豊富な歯科医なら、前歯を矯正するだけでなく奥歯の噛み合わせを整える矯正治療を行います。

でも前歯しか動かさない格安矯正や、経験不足の歯科医の場合、奥歯の噛み合わせまで配慮できません。

結果的に、受け口は治ったけど、奥歯の噛み合わせはおかしいまま、という結果に終わりがちなのです。

根本原因の奥歯を整えて
受け口を治療します

奥歯が原因で前歯が押し出されている場合、当院ではまず最初に奥歯を正しい位置に矯正します。

奥歯の治療が得意な「インビザライン」を利用して、奥歯が前歯を押し出している状況を解消し、受け口の根本原因をまずは取り除くのです。

もちろん奥歯を動かす過程で、奥歯の噛み合わせもしっかり整えますので、どうぞご安心ください。

奥歯の移動でスペース確保して
受け口を治療します

またインビザラインは、奥歯を奥側に移動することもできます。

残念ながら格安矯正では奥歯を動かせないため、受け口をきれいに矯正することはできません。

またワイヤー矯正も奥歯を奥側に動かすのは苦手です。

その点インビザラインでは、親知らずを抜いたスペースにまず一番奥の歯を動かします。

それにより空いたスペースに次の奥歯を動かし、さらに次の奥歯を動かします。

こうして順繰りに奥へと歯を移動させることで、前歯を引っ込めるスペースを確保できるというのがインビザラインの優れたポイント。

この方法なら親知らずを抜いた広いスペースを利用できますから、受け口でお悩みの患者さまでも治療が可能なのです。

経験20年、実績2,300症例
受け口の治療はお任せください

当院で受け口の矯正治療を担当するのは、院長である私です。

私が手がけた矯正治療の実績は累計で2,300症例にのぼり、20年に渡る矯正経験の中で、マウスピース矯正とワイヤー矯正の両方を手がけてきました。

また、2022〜2025年の4年連続で、インビザライン社から上位ランクの「プラチナプロバイダー」、2025年・2026年の2年連続で「ダイヤモンドプロバイダー」に認定されております。

おかげさまで、受け口の患者さまが多数来院されるようになり、奥歯動かす矯正の経験も豊富に積むことができました。

受け口の治療にも自信を持って取り組み、成功症例を積み重ねておりますので、安心してお任せいただければと思います。

 
  • 私の受け口は、どう変わるの?
  • 私の受け口は、どうやって治すの?
  • 治療費や治療期間は?

相談会ではシミュレーション画像で
未来の歯並びを確認できます

無料の矯正相談を実施中。矯正経験20年・累計2,300症例の実績を持つ、上位ランク「ダイヤモンド」認定の院長に、ぜひお気軽にご相談ください。

受け口の原因と失敗例
(2) 下あごがずれている

下あごが前にずれて受け口

口呼吸や噛み合わせの問題、あるいは遺伝的な要因で上あごに対して下あごが前にずれると、受け口になってしまいます。

下図のように、下あごが全体的に前に出てしまったため受け口になってしまった、という状態です。

なお、遺伝的に骨格に問題があって下あごがずれている場合は、手術が必要になることもあります。

しかしながら、必要な抜歯を行って前歯を下げるスペースを確保しつつ、奥歯を奥側に動かすことで、受け口の見た目をある程度改善することが可能な場合も少なくありません。

ぜひ諦めずに歯科医に相談してみてください。

前歯だけの矯正治療を選んで
受け口が治らない

さて、下あごが前にずれている受け口では、奥歯も矯正しないと受け口はなおりません。

残念ながら格安矯正等、前歯しか動かさない矯正治療では、奥歯動かせないため、このタイプの受け口は治療できません。

格安矯正で前歯を少し整えるだけでは、見た目の受け口はほとんど変わらないということになってしまうので、事前に歯科医とよく相談頂ければと思います。

奥歯を動かして
噛み合わせおかしくなる

また奥歯を動かす矯正治療では、非常に高度なスキルと経験が求められます。

残念ながらこうしたスキルの乏しい経験不足の歯科医の場合、奥歯を動かした結果、奥歯の噛み合わせがおかしくなってしまうことがあります。

治療終了時点で下の歯は引っ込んだものの、奥歯でものが噛めなくなってしまった、そんな失敗も決して少なくないのです。

奥歯を奥に動かして
受け口を治療します

下あごのズレが原因の受け口の場合、当院では奥歯奥側移動してスペースを確保できるマウスピース矯正「インビザライン」をおすすめしています。

親知らずを抜いたスペースに奥歯を順に動かしていくことで、前歯をきれいに並べるスペースを確保します。

さらに症状によっては、前から4番目の歯を抜歯しして、前歯を並べるスペースを生み出します。

このように、奥歯を奥側に動かすことと、必要な抜歯を行うことで、前方に突き出た前歯を下げるスペースを確保するのです。

たしかに遺伝的に骨格に問題があって下あごがずれている場合は、手術が必要になることもあります。

ですが上記の治療方法で、ある程度の受け口の治療が可能な場合も多いですから、ぜひ諦めずにご相談いただければと思います。

経験20年、実績2,300症例
お気軽にご相談ください

当院で受け口の矯正治療を担当するのは、院長である私です。

先ほどもお話ししたように、矯正経験20年・累計2,300件の成功症例を積み重ね、上位ランク「ダイヤモンド」認定医として、患者さまに輝く笑顔をお届けしてきました。

もちろん噛み合わせについてもきちんと対応いたします。

もし受け口でお悩みなら、どうぞお気軽にご相談ください。

 
  • 私の受け口は、どう変わるの?
  • 私の受け口は、どうやって治すの?
  • 治療費や治療期間は?

相談会ではシミュレーション画像で
未来の歯並びを確認できます

無料の矯正相談を実施中。矯正経験20年・累計2,300症例の実績を持つ、上位ランク「ダイヤモンド」認定の院長に、ぜひお気軽にご相談ください。

その他の
失敗例

矯正治療中に
虫歯になってしまう

マウスピース矯正の治療中は、虫歯になりやすいことをご存知でしょうか?

普段私たちの口の中は、唾液によって常に洗浄されています。

ところがマウスピースを装着すると、唾液が歯の表面に行き届かない状態に。

歯に付着した汚れが洗い流されず、知らないうちに虫歯になっていた、ということも少なくありません。

このような失敗談は、矯正専門医院で治療を受けた方からよく聞きます。矯正だけ注力して、虫歯の予防にまで配慮していないことがあるからです。

予防歯科にも力を入れる
「総合歯科医院」

一方、当院のような矯正だけでなく一般歯科治療も提供する「総合歯科医院」であれば、虫歯や歯周病の予防にも力を入れています。

矯正中に歯のクリーニングをご提供するなど、患者さまの大切な歯を虫歯や歯周病からお守りします。

 

受け口におすすめの
矯正治療

このような失敗治療とならないように、当院ではマウスピース矯正「インビザライン」による治療に力を入れています。

なお受け口は成長とともに治療が困難になる場合が多いため、なるべく早期の治療をおすすめしています。

受け口の治療として当院が最適だと考えているのが、マウスピース矯正「インビザライン」。

透明で目立たない、痛みが少ない、いつでも装置を外せる、お食事や歯磨きをいつも通りに行えるなど、他の治療法にはないメリットが豊富です。

当院のインビザライン治療については以下のページで詳しくご紹介しております。ぜひご覧ください。

  • 一部の費用しか記載されていないため、総額いくらか分からない
  • 軽度の費用しか記載されておらず、重度の費用が分からない

こうした事のないよう、当院では矯正治療にかかるすべての費用を、軽度重度別に分かりやすく記載しております。

多額の初期費用を用意することなく、すぐに治療を始めていただけるように、デンタルローンの分割払いをご用意しました。

(税込)

軽度:インビザライン・ライト
治療費 66万円(上下) 月々7,600
中度:インビザライン・モデレート
治療費 88万円(上下) 月々10,100
重度:インビザライン・フル
(インビザライン・コンプリヘンシブ)
治療費 121万円(上下) 月々13,900

当院はトータルフィー(総額表示)制度を採用しているため、他院では別料金となることが多い様々な費用が無料です。

医療費控除
さらにお安く

また当院の矯正治療には医療費控除が適用されます。

たとえば年収360万円の方が66万円の矯正治療を受けた場合、17万円が還付され、実質49万円の治療費ですみます。(概算)

  • 私の受け口は、どう変わるの?
  • 私の受け口は、どうやって治すの?
  • 治療費や治療期間は?

相談会ではシミュレーション画像で
未来の歯並びを確認できます

無料の矯正相談を実施中。矯正経験20年・累計2,300症例の実績を持つ、上位ランク「ダイヤモンド」認定の院長に、ぜひお気軽にご相談ください。

当院の矯正治療の
特徴

さて、次に当院の特徴についてご紹介いたします。

2年の治療期間を
1年短縮

当院では、光加速装置(矯正加速装置)を導入し、歯の移動速度を向上させています。

歯の動くスピードがグッと速くなるため、通常2年かかる治療期間を1年程度に短縮可能です。

20年以上にわたって矯正治療に携わってきた院長は、のべ2,300以上の症例を手がけ、インビザライン治療の実績で高知No1となりました。

さらに高知でただ一人のインビザライン社の「公認講師」として、後進の育成にあたっています。

2022~2025年に4年連続インビザラインプラチナプロバイダー、2025年・2026年に2年連続インビザラインダイヤモンドプロバイダーにも認定されている院長が、豊富な経験・実績を活かして初診から最後のフォローアップまで全工程を担当。あなたの願う理想の口元を、きっと叶えて差し上げられることと思います。

「もう年齢的に遅いのでは」「ブリッジインプラントがあるから無理かも」──40代・50代の方からよくいただく不安です。

実際、この年代の矯正治療は難度が上がるため、他院で断られるケースも少なくありません。

その点当院では、高知でただ一人のインビザライン社の「公認講師」で、2,300症例以上の治療実績を持つ院長が、数多くの40代・50代の矯正治療を成功に導いてきました。

矯正治療に「遅い」はありません。まずは、無料相談にお越しいただければと思います。

矯正後の歯並びはどうなるんだろう…。本当に理想の口元が手に入るの?そんな不安を抱える方もいらっしゃるかと思います。

当院では、最新の口腔内スキャナーを使用した歯並びのシミュレーション無料でご提供しています。

これにより治療中の歯の動きや、矯正後の歯並びをイメージすることが可能です。

※簡易シミュレーションでは画像、詳細シミュレーションでは動画でご確認いただきます。

他院で断られた方も
どうぞお任せください

格安アライナーをはじめとした格安矯正は、軽度の症状にしか対応できません。

一方、当院が採用しているマウスピース矯正インビザラインなら、中度重度の患者さまにも対応可能。

他院で「治療できない」と断られた患者さまもお気軽にご相談ください。

院長もスタッフも
矯正治療の経験者

院長をはじめ多くのスタッフが、矯正治療を受けています。

元患者として苦労したからこそ、患者さまの不安や悩みに寄り添えます。

また自分自身がきれいな歯並びを手に入れたからこそ、マウスピース矯正を自信持ってお勧めすることができるのです。

プライバシーが守られた
半個室の診療台

当院ではプライバシーに配慮した半個室の診療台をご用意。

隣の患者さまを気にすることなく、治療を受けていただけます。

私たちの役割は、患者さまの歯並びを整え、患者さまに笑顔を取り戻していただくこと。

そのために最も大切なのが、患者さまのお話をしっかりと伺うことなのです。

無料の矯正相談や治療時に、どんな些細な事でも構いません。お悩みやご希望、ご質問、等、色々とお話しください。

お話しを伺うことを楽しみにしております。

マウスピース矯正治療の
流れ

最後に、マウスピース矯正治療がどのような流れで進むのかをご紹介いたします。具体的なイメージをつかむことで、矯正治療をより身近に感じていただけたらと思います。

無料相談
(カウンセリング)

精密検査

治療計画
(クリンチェック)

ご契約

治療開始

治療の経過観察

治療終了

保定期間に移行

  • 私の受け口は、どう変わるの?
  • 私の受け口は、どうやって治すの?
  • 治療費や治療期間は?

相談会ではシミュレーション画像で
未来の歯並びを確認できます

無料の矯正相談を実施中。矯正経験20年・累計2,300症例の実績を持つ、上位ランク「ダイヤモンド」認定の院長に、ぜひお気軽にご相談ください。

当院の矯正治療

  • 私の歯並びはキレイになるの? 
  • 治療費や治療期間は?
  • 本当にお顔も美しくなるの?

歯並びの無料相談を実施中。治療後の歯並びをイメージできるシミュレーションも可能です。

診療時間
8:30~12:00
13:30~17:00

休診日:木曜・日曜・祝日

JR土讃線「旭駅」より徒歩15分 ▶アクセスマップへ