〒780-8052 高知県高知市鴨部1丁目10-33
土佐電鉄「蛍橋駅」より徒歩10分

電話での問合せ・無料相談予約

0120-425-804
診療時間
8:30~12:00/13:30~17:00
電話受付時間
8:30~12:00/13:30~16:45
休診日
木曜・日曜・祝日

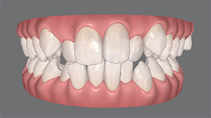
叢生(ガチャ歯)は
印象が悪い?

叢生(そうせい)は、ガタガタとかガチャ歯乱杭歯(らんくいば)ともいわれる、歯と歯が重なってデコボコした症状。

程度にもよりますが、不正咬合の中では最も「歯並びがガタガタしている」、そして「清潔感に欠けている」「笑顔がかわいくない」という印象のある症状です。

叢生の弊害

叢生(ガタガタ)を治療せずに放置していると、以下のようにさまざまな問題がおきてしまいます。
 

見た目の印象で損してしまう

歯並びがガタガタだと、初対面で「清潔感がない」「だらしない」と思われがち。

また「歯並びの悪さ」=「歯の汚れ」というイメージも強く、どうしても見た目の印象で損をしてしまいます。

口臭の原因になりやすい

歯ブラシで磨き残した歯垢や、歯周病によるなどが、口臭の強い原因となることがあります。

お口のニオイが気になって人前に出たくない、そう感じる人も少なくありません。

歯にものが詰まりやすい

歯並びが悪いと、食事のたびにものが詰まってしまいます。

ネギや海苔が前歯に詰まったまま、気づかずに人と話していた。もしかしたら、そんな恥ずかしい経験をお持ちかもしれません。

虫歯歯周病のリスクが非常に高い

歯が重なり合っている部分は歯ブラシの毛先が届きにくく、汚れ(歯垢)が溜まりがち。

そのため虫歯や歯肉炎、さらには歯周病へと進行するリスクが極めて高くなります。

噛み合わせがおかしくなる

叢生の原因が奥歯にある場合、特定の奥歯に過度な力が加わります。

その結果、奥歯の位置高さが変わり、噛み合わせが悪くなってしまうのです。

顎関節症になるリスクが高い

また奥歯への過度な負担は、あご関節に不自然な力を加え、バランスを損ねてしまいます。

奥歯の噛み合わせが悪化するだけでなく、あごの関節への負担が増えていき、やがて顎関節症を発症してしまうのです。

こうした弊害のある叢生
なぜ、なってしまうのか?
叢生の原因と、失敗しやすい治療を
ご説明いたします

叢生の原因と失敗例
(1)小顔あごが小さい

小顔であごが小さいのでガタガタ

小顔あごが小さい方は、歯がきれいに並ぶスペースが足りません。

狭いスペースに歯を詰め込むため、歯が重なり合って叢生ガタガタ)になってしまうのです。

つまり本来は美人の条件である小顔のせいで、歯並びが悪くなってしまったという状況。

逆にいうと、歯を並べるスペースが確保できて歯並びがきれいに整えば、患者さま本来のすっきりした小顔美人に戻れるのです。

ただし、叢生の矯正は決して簡単な治療ではありません。経験不足の歯科医師が治療すると、以下のような失敗治療になってしまうことがありますので注意が必要です。

ガタガタは治っても
口ゴボになってしまう

叢生(乱ぐい歯・ガタガタ)の原因がスペース不足なら、そのスペース確保が治療の第一歩。

しかし、前歯しか動かせない格安矯正ではスペースを十分に確保できないので、前歯を外側広げて治療を行います。

前歯を広げる治療法で、たしかに叢生(乱ぐい歯・ガタガタ)は治るかもしれません

でも治療が終わると口元が全体的に前に出てきてしまいます。

つまりガタガタは治ったとしても、口ゴボ(ゴリラ顔)という新たな問題が起きてしまうのです。

拡大床で、口ゴボになってしまう

スペースが充分に確保できない場合に、前歯しか動かせない格安矯正でよく用いられるのが、拡大床という治療法です。

拡大床

ネジの力を利用して歯を外側へ押し広げることで、前歯を並べるスペースを確保します。

ただ拡大床は、歯列を広げすぎないよう細心の注意を払う必要がある、とても難しい治療法

経験不足の歯科医師では、過度に歯を押し広げてしまい、前歯が口ゴボになってしまうことがあります。

またこの拡大床は奥歯を左右に広げようとしますから、経験不足の歯科医師では、奥歯の位置がおかしくなってしまうことも。

そのため噛み合わせが悪くなって、食事に支障をきたす、という失敗症例もよく耳にします。

歯を削りすぎて、すきっ歯

スペース確保の方法として前歯しか動かせない格安矯正でよく用いられるのが、IPRと呼ばれる歯と歯のあいだを削る治療法。

IPRで削る量は、約0.1〜0.5mmと少量ですので、通常は健康への心配はありません。

でも大きなスペースを必要とする中度重度の治療では、経験不足の歯科医師が無理して削りすぎてしまう場合があります。

そして歯を必要以上に削りすぎると、知覚過敏になったり、すきっ歯になったりしてしまうのです。

ひどい場合には、歯が細くなりすぎて見た目の印象がピアノの鍵盤みたい、という失敗治療に終わることもあるのでご注意ください。

抜歯したけど
奥歯を動かせずすきっ歯

歯並びの乱れが重度の場合、今まで述べた方法では充分なスペースが確保できないため、抜歯が必要になることがあります。

具体的には前から4番目の歯を抜いて、前歯を並べるスペースを生み出します。

広いスペースを確保できるため、歯をキレイに並べられることができ、より美しい口元をご希望の方には抜歯矯正がおすすめです。

しかし抜歯後のすき間を埋めるためには、前歯だけでなく、奥歯も動かさなければいけません。

でもこの奥歯を動かすのが一苦労。極めて高いスキルと経験が求められます。

そのため歯科医師の経験が浅いと奥歯をうまく動かせずに、歯と歯のあいだが空いたすきっ歯になることもありますので、注意が必要です。

また、前歯しか動かせない格安矯正では、奥歯を動かせないため抜歯が必要な重度の叢生(乱ぐい歯・ガタガタ)は治せません。

奥歯を奥に動かしたスペースで
ガタガタの歯並びを矯正します

上記のような失敗を起こさないために当院では、奥歯奥側移動してスペースを確保できるマウスピース矯正「インビザライン」をおすすめしています。

格安矯正では奥歯を動かせないため、叢生(ガタガタ・乱ぐい歯)をきれいに矯正することはできません。

またワイヤー矯正も奥歯を奥側に動かすのは苦手です。

その点インビザラインでは、親知らずを抜いたスペースに一番奥の歯を動かします。

それにより空いたスペースに次の奥歯を動かし、さらに次の奥歯を動かします。

こうして順繰りに奥へと歯を移動させることで、前歯をきれいに並べるスペースを確保できるというのがインビザラインの優れたポイント。

この方法なら親知らずを抜いた広いスペースを利用できますから、あごが小さくてガタガタの歯並びになってしまった患者さんでも治療が可能なのです。

経験20年、実績2,300症例
重度の叢生もお任せください

当院で叢生(ガタガタ・乱ぐい歯)の矯正治療を担当するのは、院長である私です。

私が手がけた矯正治療の実績は累計で2,300症例にのぼり、20年に渡る矯正経験の中で、マウスピース矯正とワイヤー矯正の両方を手がけてきました。

また、2022〜2025年の4年連続で、インビザライン社から上位ランクの「プラチナプロバイダー」、2025年・2026年の2年連続で「ダイヤモンドプロバイダー」に認定されております。

おかげさまで、叢生の患者さまが多数来院されるようになり、奥歯動かす矯正の経験も豊富に積むことができました。

重度難症例の治療にも自信を持って取り組み、成功症例を積み重ねておりますので、安心してお任せいただければと思います。

 
  • 私の叢生は、どう変わるの?
  • 私の叢生は、どうやって治すの?
  • 治療費や治療期間は?

相談会ではシミュレーション画像で
未来の歯並びを確認できます

無料の矯正相談を実施中。矯正経験20年・累計2,300症例の実績を持つ、上位ランク「ダイヤモンド」認定の院長に、ぜひお気軽にご相談ください。

叢生の原因と失敗例
(2)奥歯に前歯が押し出される

斜めの奥歯に
前歯が押し出されてガタガタ

奥歯斜めに生えていると、食べ物を噛む度に奥歯に斜めの力が働き、徐々に傾きがひどくなっていきます。

この状態を放置すると、次々と隣の歯を斜めに押し出していき、前歯がガタガタの歯並びになってしまうのです。

「昔に比べて最近前歯の歯並びが悪くなった」という方はこのケースが多いかもしれません。

ただし、この奥歯原因の叢生は治療が難しいため、以下のような様々な失敗が起こるので注意が必要です。

スペース不足で
叢生(ガタガタ)が治らない

奥歯が斜めに傾いて前歯を押し出していると、前歯をきれいに並べるスペースがありません。

本来は斜めに傾いた奥歯をまっすぐにして、前歯を並べるスペースを作るべき。

でも格安矯正等、前歯だけの矯正治療では、奥歯を動かしてスペースを確保するのではなく、前歯だけを動かして治療を行います。

そのためスペースが足りないまま治療期間が終了。

結局、ガタガタの歯並びをきれいに並べることができなかった、という失敗に終わってしまうことが少なくないようです。

必要以上に歯を削ってしまう

そこでスペース確保する方法としてよく用いられるのが「IPR」。

歯と歯の間を削って前歯を並べるスペースを確保する治療法で、前歯しか動かさない格安矯正ではよく行われます。

でも実は、斜めの奥歯をまっすぐにしてスペースを確保すれば、歯を削る量は最小限で済みます。

あるいは奥歯を動かしてスペースを確保すれば、歯を削る量を減らすことができます。

つまり前歯しか動かさない矯正治療だと、必要な量以上に歯を削ってしまうことがあるのです。

必要ないのに歯を抜いてしまう

そして中には、抜かなくてもいい歯を抜いてスペースを確保するという、ケースもありえます。

歯並びの乱れが大きい場合、前から4番目の歯を抜いて、前歯を並べるスペースを生み出します。

でも別の方法でスペースが確保できれば、抜かず治療できるかもしれません。

つまり斜めになった奥歯まっすぐにして、さらに奥歯を奥側に移動して、前歯を並べるスペースを確保するのです。

この方法で充分にスペースが確保できれば、歯を抜かずに済むかもしれません。

もちろんお口の状況によっては抜歯が必要になりますが、奥歯を動かすことで抜歯しなくても済むケースも多いですから、ぜひ経験豊富な歯科医に相談してみましょう。

治療したのにガタガタ戻ってしまう

奥歯の傾きを矯正しないまま、前歯だけ無理矢理整えたとしても、奥歯からの圧力は変わりません。

そのため治療後も前歯が奥歯から押され続けます。

やがて前歯が斜めの奥歯に押し出されて、叢生(ガタガタ)が再発してしまう、というケースも決して少なくないのです。

根本原因の奥歯の傾きを矯正して
ガタガタを治療します

こうした症状の場合、当院では、まず最初に奥歯傾きをまっすぐに矯正します。

奥歯の治療が得意な「インビザライン」を利用して、奥歯が斜めに傾いている、という根本原因をまずは取り除くのです。

これにより前歯をきれいに並べるスペースを確保し、かつ治療後のガタガタの再発を防止します。

奥歯の移動でスペース確保して
ガタガタを治療します

またインビザラインは、奥歯の傾きをまっすぐにするだけでなく、奥歯を奥側に移動することもできます。

先ほどお話ししたように、格安矯正では奥歯を動かせないため、ガタガタ(叢生)をきれいに矯正することはできません。

その点インビザラインでは、親知らずを抜いたスペース奥歯を移動させることで、前歯をきれいに並べるスペースを確保できます。

この方法なら親知らずを抜いた広いスペースを利用できますから、ガタガタでお悩みの患者さまでも治療が可能なのです。

経験20年、実績2,300症例
お気軽にご相談ください

当院で叢生(ガタガタ・乱ぐい歯)の矯正治療を担当するのは、院長である私です。

先ほどもお話ししたように、矯正経験20年・累計2,300件の成功症例を積み重ね、上位ランク「ダイヤモンド」認定医として、患者さまに輝く笑顔をお届けしてきました。

もしガタガタの歯並びでお悩みなら、どうぞお気軽にご相談ください。

 
  • 私の叢生は、どう変わるの?
  • 私の叢生は、どうやって治すの?
  • 治療費や治療期間は?

相談会ではシミュレーション画像で
未来の歯並びを確認できます

無料の矯正相談を実施中。矯正経験20年・累計2,300症例の実績を持つ、上位ランク「ダイヤモンド」認定の院長に、ぜひお気軽にご相談ください。

その他の
失敗例

矯正治療中に
虫歯になってしまう

マウスピース矯正の治療中は、虫歯になりやすいことをご存知でしょうか?

普段私たちの口の中は、唾液によって常に洗浄されています。ところがマウスピースを装着すると、唾液が歯の表面に行き届かない状態に。

歯に付着した汚れが洗い流されず、知らないうちに虫歯になっていた、ということも少なくありません。

このような失敗談は、矯正専門医院で治療を受けた方からよく聞きます。矯正だけ注力して、虫歯の予防にまで配慮していないことがあるからです。

予防歯科にも力を入れる
「総合歯科医院」

一方、当院のような矯正だけでなく一般歯科治療も提供する「総合歯科医院」であれば、虫歯や歯周病の予防にも力を入れています。

矯正中に歯のクリーニングをご提供するなど、患者さまの大切な歯を虫歯や歯周病からお守りします。

 
このような失敗治療にならないよう
当院では「インビザライン」による治療に
力を入れています

叢生におすすめの
矯正治療

叢生の治療として当院が最適だと考えているのが、マウスピース矯正「インビザライン」。

透明で目立たない、痛みが少ない、いつでも装置を外せる、お食事や歯磨きをいつも通りに行えるなど、他の治療法にはないメリットが豊富です。

当院のインビザライン治療については以下のページで詳しくご紹介しております。ぜひご覧ください。

インビザラインの最大の魅力は、「奥歯奥側に動かせる」こと。前歯しか動かさない格安矯正では、口ゴボになってしまうリスクが高いのですが、インビザラインならその心配はありません。

インビザラインでは、親知らずを抜いたスペースに一番奥の歯を動かします。

それにより空いたスペースに次の奥歯を動かし、さらに次の奥歯を動かします。

こうして順繰りに奥へと歯を移動させることで、前歯をきれいに並べるスペースを確保できるというのがインビザラインの優れたポイント。

この方法なら親知らずを抜いた広いスペースを利用できますから、小顔であごが小さい患者さんでも、口ゴボになることなく前歯の矯正が可能なのです。

なお奥歯を奥側へ動かすこの治療法は「インビザライン」でしか行えません。格安矯正はもちろん、ワイヤー矯正でもできないのでご注意ください。

 

  • 一部の費用しか記載されていないため、総額いくらか分からない
  • 軽度の費用しか記載されておらず、重度の費用が分からない

こうした疑問をお持ちの方も多いのではないでしょうか。

そこで当院では、矯正治療にかかるすべての費用を、軽度重度別に分かりやすく記載しております。

当院では、月々わずか支払いだけですむ、デンタルローンによる分割払いをご用意しました。

分割払いなら多額費用を最初に用意することなく、すぐに治療を開始することが可能です。

前歯のみ」を動かす格安矯正は、口ゴボになるリスクが高いため、当院では取り扱っておりません。

格安矯正 ごく
軽度
前歯
のみ
当院での
取り扱いなし

 

当院では患者さまの症状に合わせて「前歯と奥歯の両方」を動かせるマウスピース矯正「インビザライン」で治療を行っています。

インビザライン
ライト
軽度 前歯と
奥歯 
66万円
(上下)
月々
7,600円
インビザライン
モデレート
中度 前歯と
奥歯 
88万円
(上下)
月々
10,100円
インビザライン
フル
コンプリヘンシブ
重度 前歯と
奥歯 
121万円
(上下)
月々
13,900円

(税込)

当院はトータルフィー(総額表示)制度を採用しているため、他院では別料金となることが多い様々な費用が無料です。

医療費控除
さらにお安く

また当院の矯正治療には医療費控除が適用されます。

たとえば年収360万円の方が66万円の矯正治療を受けた場合、17万円が還付され、実質49万円の治療費ですみます。(概算)

  • 私の叢生は、どう変わるの?
  • 私の叢生は、どうやって治すの?
  • 治療費や治療期間は?

相談会ではシミュレーション画像で
未来の歯並びを確認できます

無料の矯正相談を実施中。矯正経験20年・累計2,300症例の実績を持つ、上位ランク「ダイヤモンド」認定の院長に、ぜひお気軽にご相談ください。

続いて当院の特徴についてご紹介いたします

当院の矯正治療の
特徴

2年の治療期間を
1年短縮

当院では、光加速装置(矯正加速装置)を導入し、歯の移動速度を向上させています。

歯の動くスピードがグッと速くなるため、通常2年かかる治療期間を1年程度に短縮可能です。

20年以上にわたって矯正治療に携わってきた院長は、のべ2,300以上の症例を手がけ、インビザライン治療の実績で高知No1となりました。

さらに高知でただ一人のインビザライン社の「公認講師」として、後進の育成にあたっています。

2022~2025年に4年連続インビザラインプラチナプロバイダー、2025年・2026年に2年連続インビザラインダイヤモンドプロバイダーにも認定されている院長が、豊富な経験・実績を活かして初診から最後のフォローアップまで全工程を担当。あなたの願う理想の口元を、きっと叶えて差し上げられることと思います。

「もう年齢的に遅いのでは」「ブリッジインプラントがあるから無理かも」──40代・50代の方からよくいただく不安です。

実際、この年代の矯正治療は難度が上がるため、他院で断られるケースも少なくありません。

その点当院では、高知でただ一人のインビザライン社の「公認講師」で、2,300症例以上の治療実績を持つ院長が、数多くの40代・50代の矯正治療を成功に導いてきました。

矯正治療に「遅い」はありません。まずは、無料相談にお越しいただければと思います。

矯正後の歯並びはどうなるんだろう…。本当に理想の口元が手に入るの?そんな不安を抱える方もいらっしゃるかと思います。

当院では、最新の口腔内スキャナーを使用した歯並びのシミュレーション無料でご提供しています。

これにより治療中の歯の動きや、矯正後の歯並びをイメージすることが可能です。

※簡易シミュレーションでは画像、詳細シミュレーションでは動画でご確認いただきます。

他院で断られた方も
どうぞお任せください

格安アライナーをはじめとした格安矯正は、軽度の症状にしか対応できません。

一方、当院が採用しているマウスピース矯正インビザラインなら、中度重度の患者さまにも対応可能。

他院で「治療できない」と断られた患者さまもお気軽にご相談ください。

院長もスタッフも
矯正治療の経験者

院長をはじめ多くのスタッフが、矯正治療を受けています。

元患者として苦労したからこそ、患者さまの不安や悩みに寄り添えます。

また自分自身がきれいな歯並びを手に入れたからこそ、マウスピース矯正を自信持ってお勧めすることができるのです。

プライバシーが守られた
半個室の診療台

当院ではプライバシーに配慮した半個室の診療台をご用意。

隣の患者さまを気にすることなく、治療を受けていただけます。

私たちの役割は、患者さまの歯並びを整え、患者さまに笑顔を取り戻していただくこと。

そのために最も大切なのが、患者さまのお話をしっかりと伺うことなのです。

無料の矯正相談や治療時に、どんな些細な事でも構いません。お悩みやご希望、ご質問、等、色々とお話しください。

お話しを伺うことを楽しみにしております。

マウスピース矯正治療の
流れ

最後に、マウスピース矯正治療がどのような流れで進むのかをご紹介いたします。具体的なイメージをつかむことで、矯正治療をより身近に感じていただけたらと思います。

無料相談
(カウンセリング)

精密検査

治療計画
(クリンチェック)

ご契約

治療開始

治療の経過観察

治療終了

保定期間に移行

  • 私の叢生は、どう変わるの?
  • 私の叢生は、どうやって治すの?
  • 治療費や治療期間は?

相談会ではシミュレーション画像で
未来の歯並びを確認できます

無料の矯正相談を実施中。矯正経験20年・累計2,300症例の実績を持つ、上位ランク「ダイヤモンド」認定の院長に、ぜひお気軽にご相談ください。

当院の矯正治療

  • 私の歯並びはキレイになるの? 
  • 治療費や治療期間は?
  • 本当にお顔も美しくなるの?

歯並びの無料相談を実施中。治療後の歯並びをイメージできるシミュレーションも可能です。

診療時間
8:30~12:00
13:30~17:00

休診日:木曜・日曜・祝日

JR土讃線「旭駅」より徒歩15分 ▶アクセスマップへ